Tailored approach of an anatomically challenging aortic arch aneurysm: when one size does not fit
The management of aortic arch pathology is frequently demanding and poses significant anatomical challenges, ranging from open surgery to hybrid debranching procedures and, ultimately, total endovascular approaches.
Sometimes, a combination of such strategies is necessary to overcome these challenges, based on an adequate pre-operative planning.
May 2023
- A 60-year-old male patient
- Smoking; Neurosyphilis
- CT scan: 66 mm aortic arch aneurysm
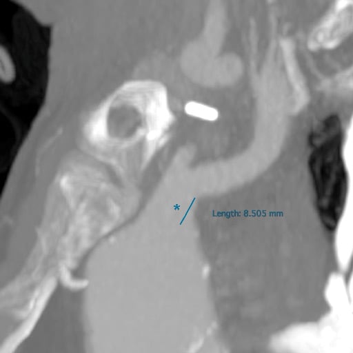
Complex anatomical features:
- Short brachiocephalic trunk (< 1 cm)*
- Narrow iliac vessels (5-7 mm)
- Stenosis at LCCA ostium
December 2023 – May 2024
- Left carotid-subclavian bypass was performed in December 2023
- Right subclavian-carotid bypass was performed two months later (February 2024)
- Endoconduit was created two months later (April 2024)
- 2 GORE Viabahn® stent grafts from the left common iliac to the left common femoral artery
- Aortic arch aneurysm was treated endovascularly with a branched endograft one month later (May 2024)
- Branched TEVAR with custom-made Terumo Relay® double inner-branched endograft (46 x 32 x 270 mm) + distal extension (34 x 30 x 150 mm)
December 2024
- Patency of endografts
- Aneurysm exclusion
- No endoleaks
This case highlights the importance of pre-operative imaging, meticulous procedural planning and device selection.
A patient-tailored approach, using a customised device and staged hybrid approach proved critical to the success of the procedure in a patient with hostile anatomy.
Get the latest clinical cases and breaking news delivered straight to your inbox!
