Embolisation & more
This PVI 2025 session explores the versatility of embolisation techniques across a wide range of clinical situations, with a strong focus on practical decision-making and real-world experience.
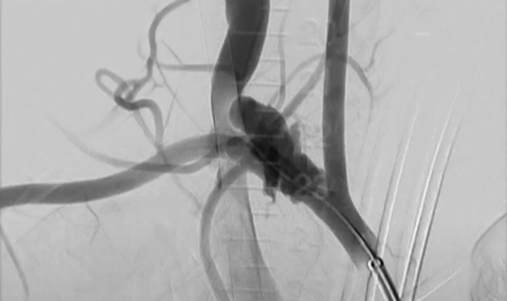
From embolotherapy in orthopedic disorders to the pragmatic management of traumatic bleeding and intra-procedural hemorrhage, speakers share concrete examples that highlight the importance of remaining calm and adaptable when complications arise.
A significant part of the session is also dedicated to type 2 endoleaks, addressing both established and emerging approaches. Direct puncture versus transarterial strategies, the use of liquid embolics, and new polymer filling technologies are discussed through examples of what works—and what does not.
The session also tackles the ongoing debate on whether some type 2 endoleaks should be treated endovascularly or managed through surgical conversion.
Through case-based discussions, this session offers practical insights into embolisation strategies that extend well beyond standard indications.
Get the latest clinical cases and breaking news delivered straight to your inbox!
